一个靠抹黑祖国上位的汉奸,一个喝中国奶水长大的“白眼狼”,竟成了日本反华急先锋的“军师”日本新首相高市早苗最近彻底疯了!上任不到一个月,就在国会公然叫...
2025-11-25 0
最近不少人被一个现象吓了一跳:甲流,这个曾经在冬春季节活跃的老熟人,今年却不按套路出牌,病例数不断攀升,死亡人数也在悄悄上涨。
而最让人意外的是,有人居然把“吃白菜”拉出来当背锅侠,说白菜寒凉、伤胃、降免疫?
话说回来,白菜到底惹了谁?可问题真的是“吃错菜”吗?又或者我们忽略了更关键的东西?今天就来把这事儿掰开揉碎,讲清楚。
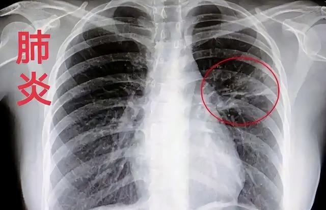
甲型流感病毒,简称甲流,是一种高度传染性的呼吸道病毒感染,与普通感冒不同,它更具爆发性和系统性,严重时甚至可引发肺炎、心肌炎等并发症,个别重症患者可能因多器官功能衰竭而死亡。
甲流病毒分为多个亚型,其中H1N1、H3N2是主要流行株。病毒通过空气飞沫、接触传播,传播速度快、潜伏期短,尤其在学校、地铁、办公室这样人群密集的场所,极易造成聚集性传播。
典型症状包括高烧、肌肉酸痛、剧烈乏力、咳嗽等,比起普通感冒来得更猛。
那为什么今年甲流的情况似乎“变本加厉”了呢?这背后其实有几个值得注意的因素。
免疫屏障正在被削弱。很多人自从疫情防控放开后,面对病毒的警惕性明显下降,戴口罩、勤洗手、避免聚集这些行为渐渐被忽视。
而过去几年因为封控和隔离,很多人几乎没怎么接触流感病毒,身体失去了“训练”机会,免疫系统变得“懒惰”了。一旦病毒卷土重来,身体反应不过来,症状就会更重。
病毒本身也在悄悄“升级”。
甲型流感病毒具有较强的变异能力,每年的流行株都略有不同,这意味着去年打的疫苗,今年不一定管用。
而很多人对流感疫苗的认知还停留在“可打可不打”的阶段,结果就是疫苗接种率偏低,这无形中也给病毒留了空子。
还有一个被忽视的关键点:生活方式的变化。节奏越来越快,熬夜、应酬、外卖成了常态,高油高糖饮食、缺乏运动、焦虑失眠等问题直接损耗免疫力。
咱们的身体就像是个士兵,营养不良、睡眠不足、训练荒废,哪还打得赢病毒这场仗?
说到这儿,咱就得回到开头那个看似离谱的说法——“少吃白菜”?白菜本身并不是问题。它确实属于寒性蔬菜,但只要搭配得当、不过量,根本不至于“吃坏免疫力”。
真正的问题是:单一饮食结构、过度迷信某类食物的功效或禁忌,反而可能让我们忽视了真正该关注的营养平衡。
免疫力就像一支乐队,白细胞、T细胞、免疫球蛋白、肠道菌群等各司其职,缺一不可。
营养是指挥棒,生活习惯是节奏感,心理状态是情绪氛围,如果任何一环出问题,整支乐队就会跑调,病毒自然就有了可乘之机。
那问题来了——如果白菜不是罪魁祸首,那哪些食物能真正帮助我们提高免疫力呢?这里不是要卖保健品,也不是推荐“神仙食谱”,而是从科学角度出发,找出那些对免疫系统有支持作用的日常食材。
首先是富含优质蛋白的食物。蛋白质是免疫细胞的主要构成原料,缺了它,免疫系统连“兵”都没得用。
建议多吃一些鸡蛋、鱼、豆腐、牛肉、瘦猪肉等优质蛋白来源,尤其是老年人和孩子,更要特别注意蛋白质摄入。
其次是富含维生素C、E、A的蔬果。维生素C可以促进白细胞功能,增强抗氧化能力;维生素E能保护细胞膜,延缓免疫细胞衰老;维生素A则有助于维持呼吸道黏膜屏障完整性。
推荐的蔬果有:彩椒、橙子、胡萝卜、木瓜、菠菜、南瓜、猕猴桃等。
接下来是富含锌和铁的食物。锌可以直接影响T细胞活性,铁则确保血液输氧能力,二者缺乏都会让免疫反应变迟钝。
牡蛎、瘦肉、蛋黄、南瓜籽、黑芝麻都是不错的选择。尤其是冬季,很多人因为饮食不当导致微量元素摄入不足,不容忽视。
还有一类容易被低估的“免疫卫士”是发酵类食物。比如酸奶、泡菜、纳豆、酱豆腐,它们含有益生菌或有助益生菌生长的成分,有助于维持肠道微生态平衡。
研究发现,肠道菌群的健康程度直接影响免疫系统反应速度和精确性。
除了吃,生活方式的调整也同样重要。如果你每天都在对着电脑熬夜、外卖不断、情绪焦虑,即使吃再多“免疫食物”,效果也会打折扣。
建议保持规律作息,保证每天7小时以上的高质量睡眠。适度运动,哪怕每天散步30分钟,也能显著提升自然杀伤细胞活性。
减少久坐时间,每隔1小时伸展一下身体,能改善循环、防止代谢紊乱。
不容忽视的是心理状态的影响。长期压力会导致肾上腺皮质醇水平升高,这会抑制免疫反应。可以通过冥想、深呼吸、写日记、与朋友交流等方式释放情绪。
别小看这些“看起来不紧要”的行为,它们才是撑住免疫天平的隐形力量。
说到底,免疫力不是靠一顿饭、一种菜就能决定的,而是日积月累的生活方式的总和。白菜不是问题,问题是我们是否在以偏概全地理解健康。
与其盯着“吃什么”,不如认真看看自己最近是不是太累了、太焦虑了、太忽视自己了。
你最近有没有试着让自己“慢下来”?有没有认真吃饭,好好睡觉,跟朋友聊过天?欢迎在评论区分享你的“免疫生活方式”,也欢迎点赞、收藏、转发给那些正在“以菜论健康”的朋友们。
你觉得提高免疫力最难做到的一点是什么?哪种食物是你的“健康担当”?欢迎留言讨论。
参考文献:
1. 《中国疾病预防控制中心流感监测周报(2025年第43周)》
2. 《中华预防医学杂志》2024年版《流感疫苗接种与免疫策略研究进展》
声明:本文为健康知识科普,结合权威资料和个人观点撰写,部分情节为方便表达和阅读理解进行了适当虚构与润色,内容仅供参考,不能替代医生诊断。如感不适,请及时就医。
相关文章
一个靠抹黑祖国上位的汉奸,一个喝中国奶水长大的“白眼狼”,竟成了日本反华急先锋的“军师”日本新首相高市早苗最近彻底疯了!上任不到一个月,就在国会公然叫...
2025-11-25 0
11月25日至26日,来自印尼、南非、意大利等国驻华海军武官或负责海军事务的国防武官,将应邀前往武汉赴海军工程大学参观访问,出席“未来·海军国际院校教...
2025-11-25 0
北海舰队连续14天在渤海黄海执行军事任务,释放了怎样的信号?如何看待高市早苗“愿与中国对话”的表态?高市早苗政府死不悔改,拒不撤回涉台错误言论,我国愤...
2025-11-25 0
——纪念中国人民抗日战争胜利80周年* * * * *不忘历史奋斗今天,中华民族砥砺向前。神州大地同欢共庆,抗战胜利八十周年。抗日战争,牢牢记住,19...
2025-11-25 0
就在这几天,位于纽约的一间办公室迎来了一份并不寻常的文书,递交者是中国常驻联合国代表傅聪,接收方是联合国秘书长古特雷斯。在外界看来,这可能只是一次常规...
2025-11-25 0
最近不少人被一个现象吓了一跳:甲流,这个曾经在冬春季节活跃的老熟人,今年却不按套路出牌,病例数不断攀升,死亡人数也在悄悄上涨。而最让人意外的是,有人居...
2025-11-25 1
再不动,腰围明年就再涨3厘米。这不是吓唬。北京一位29岁女生,去年体检腰围72,今年78,体脂率从25飙到31。她没暴食,只是每天少睡一小时,外卖从两...
2025-11-25 0
发表评论