他站在点球点上,脚底的草在抖,嘘声像浪涌过来。哈兰德呼气,挑左边,被扑;重罚想骗门将,改右边,又被扑。两连丢让夜色都凉半截。中圈再抢断,哈兰德两步抽远...
2025-10-14 0
你能记住多少张脸?
研究发现,人类平均能记住约 5000 张面孔(波动范围约为1000~10000),这一能力在自然界中无可比拟。
而大多数动物识别同类主要依赖气味或声音,而不是脸。一些高度社会化的家畜,比如绵羊,在经过特殊训练后能记住大约 50 张羊脸,仅有人类的百分之一。
除了人类以外的其他灵长类,识脸能力在动物界也属于佼佼者,但数量多在数十到上百张之间,目前仍缺乏确切的上限数据。
为什么人类拥有如此出众的“认脸”能力呢?
图库版权图片,转载使用可能引发版权纠纷
人类拥有与生俱来的
“认脸系统”
这是因为人脑中存在一套专门“认脸”的系统。
二十多年前,麻省理工学院的神经科学家 Nancy Kanwisher 发现,大脑颞叶中的梭状回面孔区(fusiform face area,FFA)对人脸的反应远强于其他物体,是识别面孔的核心区域。
那么,这个脑区对人脸的反应是经过后天训练发展而来的,还是大脑中先天固有的结构?
为了回答这个问题,Kanwisher 让先天失明的受试者在 fMRI 扫描中触摸 3D 打印的人脸模型,并与触摸椅子、手或迷宫等物体的反应进行比较。结果发现,先天失明者的大脑 FFA 依旧会对“人脸”表现出特定的激活。
这就说明 FFA 对面孔的识别并不完全依赖学习,而是大脑与生俱来的能力!更有意思的是,FFA 并不是大脑中唯一用来“认脸”的脑区。研究陆续发现,人脑对面孔的识别其实需要一整套系统的协同参与。
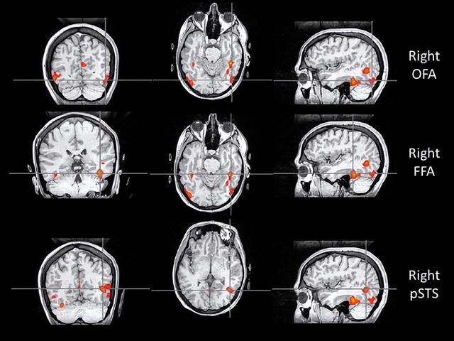
比如,位于枕叶的枕叶面孔区(Occipital Face Area, OFA),就像识脸网络的“先锋部队”。它专门处理眼睛、鼻子和嘴巴等五官“零部件”。当一张脸出现在我们眼前时,OFA 只需 约 100 毫秒 就能被激活,迅速对局部特征进行拆解,并将信息传递给 FFA 和上颞沟(Superior Temporal Sulcus, STS)。所以如果 OFA 出现问题,识别人脸就会变的很困难。
如果说 OFA 的作用是拆解五官,那么 STS 则更像是一个“动态解码器”。它对静态的面孔特征兴趣不大,却对动态特征极为敏感,尤其擅长捕捉一颦一笑、眼神转动、嘴唇开合等细微变化。
正因为有 STS 的参与,我们不仅能认出“这是谁”,还能理解“他在表达什么情绪”“注意力投向哪里”,甚至在一定程度上推测对方的意图。STS 的参与也解释了为什么比起静态照片,在现实生活或视频中,我们更容易认出熟人。
与认脸有关的三个核心脑区,自上而下依次为:OFA(枕叶面孔区)、FFA(梭状回面孔区),以及 STS(上颞沟)。图片来源:doi: 10.1007/s00221-011-2579-1
除了以上三个脑区,杏仁核(amygdala)也深度参与到面孔识别中,扮演”情绪雷达“的作用,可以精准的识别出脸上的“愤怒”“厌恶”“喜悦”等显著情绪。
最后,所有信息会在前额叶皮层(Prefrontal Cortex, PFC)汇总,为这张脸附加上”身份标签与社会评价,比如是否值得合作,是否具有吸引力等。
人类拥有丰富的
“捏脸”基因
人类之所以能“看脸识人”,不仅依赖于大脑中专门的识别系统,还因为我们本身就拥有极其丰富的面孔特征,这是经历了多年演化历程,刻在基因里的礼物。
从鼻梁的高低、颧骨的宽窄,到眼裂的形态、肤色的差异、下颌的轮廓,这些特征都由基因调控。不同基因的组合方式,像是为每个人生成了一串独特的密码,使得每一张脸都带有无法复制的“个体标识”。也正因如此,人脸成为了区分彼此最直观、最可靠的 ID。
就拿五官中最不起眼的耳朵来说,老一辈称之有福相的大耳垂(Lobe size, 耳垂大小)由 3、6 和 10 号染色体上三个不同的基因位点(rs10212119,rs1990618 和 rs12538515)共同决定,年轻人中流行的精灵耳(Ear protrusion,耳廓外翻),则与 2 号染色体上的 rs3827760 位点的基因突变密切相关。
耳朵外形特征(如耳垂大小、耳垂连接方式、耳朵突出、耳轮卷曲等)由多个基因决定。图片来源:doi.org/10.1038/ncomms8500
不仅是五官的细节特征,面部的立体感和五官的整体比例,其实也早已写在基因里。2019 年的一项研究通过对上万名欧洲人的 78 个面部特征进行分析,从中提炼出 13 个关键点,并最终锁定了 24 个相关基因。
其中,例如 PAX3 基因,会在胚胎发育阶段通过调控神经嵴细胞的生长与分化,进而决定两眼间距、鼻梁高度,以及整个中面部的结构。
多个基因通过调控神经嵴细胞的生长和分化共同决定了面部的13个特征。图片来源:doi.org/10.7554/eLife.49898
从小 baby 时期开始
人类就沉迷看脸
人类不仅拥有高级的“认脸系统”和丰富的“捏脸”基因,还从婴儿时期就对“人脸”更感兴趣。
科学家们曾在婴儿出生后数小时,就让他们观看不同的图案。其中一种是“类似人脸”的配置(两点在上,一条横线在下,类似眼睛+嘴),另一种是同样元素但随机排列的图形。
结果发现,新生儿会更长时间注视“类似人脸”的图案,说明他们天生就对面孔结构更感兴趣。
给婴儿看类似于人脸的图案和随机图案。图片来源: 参考文献[18]
不仅如此,2017 年的一个实验中,科学家利用光源投射出三个点,通过母体腹壁照到子宫内。点的排列有两种:正立的人脸样配置(两个在上,一个在下)和倒置配置(两个在下,一个在上)。
通过超声扫描观察胎儿的姿势发现,胎儿的头部会更频繁地转向正立的脸样配置,说明对面孔的偏好在出生前就已显现。
AC是光源投射出的三点,BD是基于公式算出的胎儿在母亲肚子里看见的图形。图片来源:doi: 10.1016/j.cub.2017.06.036.
婴儿对人脸的天生偏爱或许是因为他们需要通过“看脸”的视觉刺激来锻炼认脸的能力。研究表明,如果婴儿在早期严重缺乏面孔刺激(例如因先天性白内障而长期看不见,直到手术后才恢复视觉),即便视觉功能后来恢复正常,他们在识别人脸方面的能力也会明显受限。这说明人脑中的认脸系统并不是单纯的“预设程序”,而能在后天的学习中训练优化。
正是这种复杂而微妙的机制,让“看脸识人”成为人类独特的天赋。
所以,下次在茫茫人海中与好朋友目光锁定时,不妨想起,这份认出彼此的能力,是属于人类的浪漫奇迹。
参考文献
[1]https://royalsocietypublishing.org/doi/10.1098/rspb.2018.1319
[2]https://www.nature.com/articles/35102669
[3]https://news.mit.edu/2020/fusiform-brain-faces-blind-0826
[4]https://pmc.ncbi.nlm.nih.gov/articles/PMC1857737/
[5]N.A. Ratan Murty, S. Teng,D. Beeler, A. Mynick, A. Oliva, & N. Kanwisher, Visual experience is not necessary for the development of face-selectivity in the lateral fusiform gyrus, Proc. Natl. Acad. Sci. U.S.A. 117 (37) 23011-23020, https://doi.org/10.1073/pnas.2004607117 (2020).
[6]Pitcher D, Walsh V, Duchaine B. The role of the occipital face area in the cortical face perception network. Exp Brain Res. 2011 Apr;209(4):481-93. doi: 10.1007/s00221-011-2579-1. Epub 2011 Feb 12. PMID: 21318346.
[7]Allison T, Puce A, McCarthy G. Social perception from visual cues: role of the STS region. Trends Cogn Sci. 2000 Jul;4(7):267-278. doi: 10.1016/s1364-6613(00)01501-1. PMID: 10859571.
[8]Puce A, Allison T, Bentin S, Gore JC, McCarthy G. Temporal cortex activation in humans viewing eye and mouth movements. J Neurosci. 1998 Mar 15;18(6):2188-99. doi: 10.1523/JNEUROSCI.18-06-02188.1998. PMID: 9482803; PMCID: PMC6792917.
[9]Lander K, Davies R. Exploring the role of characteristic motion when learning new faces. Q J Exp Psychol (Hove). 2007 Apr;60(4):519-26. doi: 10.1080/17470210601117559. PMID: 17455062.
[10]Claes, P., Roosenboom, J., White, J.D. et al. Genome-wide mapping of global-to-local genetic effects on human facial shape. Nat Genet 50, 414–423 (2018). https://doi.org/10.1038/s41588-018-0057-4
[11]Adhikari, K., Reales, G., Smith, A. et al. A genome-wide association study identifies multiple loci for variation in human ear morphology. Nat Commun 6, 7500 (2015). https://doi.org/10.1038/ncomms8500
[12]Ziyi Xiong.Gabriela Dankova. et al.On behalf of the International Visible Trait Genetics (VisiGen) Consortium (2019) Novel genetic loci affecting facial shape variation in humanseLife8:e49898.https://doi.org/10.7554/eLife.49898
[13]https://www.sciencedirect.com/science/article/pii/S0960982217305808?via%3Dihub
[14]Frank MC, Vul E, Johnson SP. Development of infants' attention to faces during the first year. Cognition. 2009 Feb;110(2):160-70. doi: 10.1016/j.cognition.2008.11.010. Epub 2008 Dec 27. PMID: 19114280; PMCID: PMC2663531.
[15]Valenza E, Simion F, Umiltà C, Macchi Cassia V. The enduring legacy of newborns' face preference. J Exp Psychol Hum Percept Perform. 2025 May;51(5):535-542. doi: 10.1037/xhp0001263. PMID: 40244972.
[16]https://www.sciencedirect.com/science/article/pii/S0079612307640059?via%3Dihub
[17]https://www.sciencedirect.com/science/article/pii/0010027791900456
策划制作
本文为科普中国·创作培育计划扶持作品
出品丨中国科协科普部
监制丨中国科学技术出版社有限公司、北京中科星河文化传媒有限公司
作者丨哈代 浙江大学神经生物学博士
审核丨李旭 中国科学技术大学副教授 中国生物化学与分子生物学会会员
策划丨张林林
责编丨张林林
审校丨徐来
相关文章
他站在点球点上,脚底的草在抖,嘘声像浪涌过来。哈兰德呼气,挑左边,被扑;重罚想骗门将,改右边,又被扑。两连丢让夜色都凉半截。中圈再抢断,哈兰德两步抽远...
2025-10-14 0
前言原以为,在娱乐圈那几位德艺双馨的老艺术家,是后辈们效仿的楷模。然而有些人的行为,实在称不上“老艺术家”的这个称号,并且亲手将“德艺双馨”的标签撕下...
2025-10-13 0
文|石江月 《亚太日报》评论员、资深军事评论员距离美国向乌克兰提供“战斧”巡航导弹越来越近了,俄罗斯对此接连发出警告。这些警告能否真正阻止美国的“战斧...
2025-10-13 0
136万买一台进不了地库、停不进车位的福特烈马Bronco Raptor,福特中国把价格亮出来的那一刻,越野论坛瞬间分成两拨人:一拨直接关掉网页,一拨...
2025-10-13 0
最近,CCTV的镜头里,福建舰旁边停着一架没刷涂料的歼-35,那绿油油的蒙皮,反倒比那些涂了隐身漆的更抓人眼球。按理说,隐身飞机不都得穿身“隐形衣”吗...
2025-10-13 1
本篇文章给大家谈谈“微乐山西麻将开挂神器,以及微信小程序微乐有挂吗”对应的知识点,希望对各位有所帮助,不要忘了收藏本站喔。 怎么防止微乐山西扣点用挂软...
2025-10-13 0
最近北京延庆挖出一座辽代铁厂,考古队一进去就愣了,炉子里的灰还热着,一测数据全变了,原来老祖宗打铁不是光靠力气,他们早把炉子、风箱、铁矿的门道摸透了。...
2025-10-13 1
你能记住多少张脸?研究发现,人类平均能记住约 5000 张面孔(波动范围约为1000~10000),这一能力在自然界中无可比拟。而大多数动物识别同类主...
2025-10-13 1
发表评论